A dental implant is an artificial tooth placed into the jawbone for replacing the root of a tooth. Being made of biocompatible titanium, they blend in with your natural teeth and are an ideal option for people who have lost their teeth due to an injury, gum disease or other reasons.
They are a long- term solution for restoring your smile. If you care for the implants and your teeth properly, they will last you a lifetime!
Dental Implant restorations have 3 parts:





Several studies have proved that implant have a success rate of over 90% and can last many years or even a lifetime with proper oral hygiene.
The procedure is simple but requires a few visits to complete. The procedure is routinely carried out under local anaesthetic; many patients report that it is easier than having a tooth extracted!
1. Evaluation
First, we need to determine if you are a right candidate for dental implants. To do this, we take impressions, photos, x-rays, CT scans. This will give us information about your bone quality, volume and shape.
2. Treatment
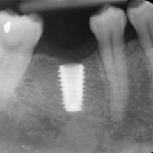
Once you are numb, our dentist will surgically place the implant into the jawbone. The implant will need 3-6 months to heal, during which osseointegration will take place where there is a connection between the jawbone and the implant.
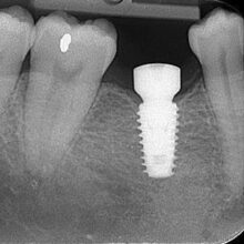
The abutment is positioned to connect the implant and the crown. The abutment is a connection that spans through the gum line, so the implant remains buried.
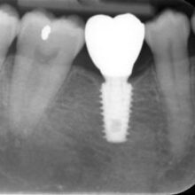
3. Final Restoration
Once healing is completed, a customised crown will be placed, which blends with the rest of your teeth, giving you back your ability to eat chew properly and making you feel more confident.
With technological advancement, having surgery these days is safer than ever. But there is still a small risk associated with dental implant procedure. Most common ones are:
Follow these instructions to ensure good and complication- free healing:

"*" indicates required fields
